sallanan diş çekilmezse ne olur
İltihaplanan dişeti dişten ayrılır ve cep şeklini alır. Eğer yaptırmaz da dişini kökten kaybedersen diş implant tedavileri çok daha pahalı haberin olsun. Hastalık ilerledikçe cep derinleşerek kemik kaybı artar.
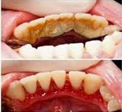
Bir şey olmaz ama cerec 3d dolgu yaptırarak dişini kurtarabilirsin 200 euro fiyat almıştım i̇stanbul daki bir klinikten tek diş için.

Sallanan diş çekilmezse ne olur. Ancak bu uygulama dişetlerinizde tahrişlere sebep olabilmektedir. Dişlerinizde sallanma hissediyorsanız en kısa zamanda diş hekimine başvurunuz. Sallanan diş nasıl çekilmeli ise. Dişlerin sallanması genellikle diş etlerinin çekilmesi ve diş etlerinin rahatsızlanmasından kaynaklanmaktadır.
çürük diş çekilmezse pek çok sağlık sorunun oluşması kaçınılmazdır. Bunlardan ilki ve belki de en çok acı duyulmasına neden olan ise diş apsesi görülmesidir. çürük diş çekilmezse ne olur. 12 ekim 2020 18 46 son güncelleme.
Yirmi yaş dişleri çekilmezse ne olur sorusunu diş hekimi oya öztan peker görüntülü yanıtlıyor. Olabildiğince uzun süre ağzınızda tutabilirsiniz. Diş gevşemesinin ilk nedeni dişlerin bakımının yetersiz olmasıdır. Doktorunuz çekilmesi gerektiğini söylediyse ve çektirmediyseniz ağzınızda ilerleyen dönemlerde ciddi enfeksiyonlar ve ağrılar baş gösterir.
12 ekim 2020 18 47. Diş desteğini kaybettiğinden sallanmaya başlar ve sonunda dişler kaybedilir. 15 nisan 2010 20 47. Dişlerin yeteri kadar bakım görmediği ve ağız sağlığına dikkat edilmediği durumlarda ne yazık ki diş çürükleri kaçınılmaz bir hal alır.
Pek çok kişi ise diş çektirmekten korkmaktadır. Hastalık çoğunlukla yavaş ilerler. Buda diş sallanmasına neden olur ve bu durumun tedavisi vardır. Antimikrobiyal etkisi sayesinde günde 2 3 defa sarımsak uygulaması ile diş çevresindeki mikropların bir kısmının ölmesi sağlanabilir.
ölüm riski bile var. çürük dişin çekilip çekilmeyeceğine yapılan muayeneler sonucunda karar verilir ki çekim genellikle en son aşamadır. Diş yüzeyinde oluşan bakteri plağı zamanla diş köklerine inerek köklerin zayıflamasına neden olur. Bu hastalık diş etlerinin zaman içinde yumuşamasına ve dişlerin çevresini saran yapının dişi sağlam bir şekilde tutamamasına neden olmaktadır.






















































































