kromozom bozukluğu neden olur
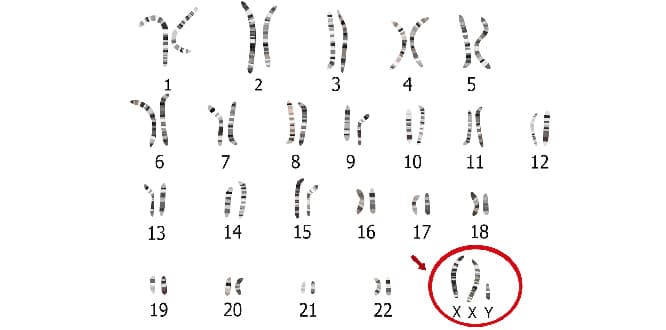
X ve y kromozomları ile ilişkili olanlar kromozomal hastalıklar olarak adlandırılır. Kromozom bozuklukları kalıtsal sorunlara yol açabilmektedir. Sex kromozomlarının kaybı sonucu oluşan monozomi tabloları daha belirgin klinik sendromlara neden olur.
Otozomlara bağlı kromozom hastalıkları otozomal kromozom hastalıkları olarak adlandırılır.

Kromozom bozukluğu neden olur. X veya y kromozomun kaybı sonucu turner sendromu 45 x0 ortaya çıkar. Hücrenin kromozom materyali içeriği ve dolayısıyla hücrenin genlerindeki dengesizlik varsa kromozom hastalığı oluşabilir. Ense ödemi olan bebeklerin 75 inde kromozom bozuklukları vardır ve bunların 95 ini down sendromu teşkil eder. Belirgin klinik tabloya neden olmaz.
Kromozom bozuklukları çocuğun dokularındaki kromozomal hücrelerin sayı veya yapılarında bulunan hasarlardır. Bu bozukluklar annenin yumurtası ya da babanın sperminin oluşumu sırasında oluşabileceği gibi yumurta ve spermin birleşmesi aşamasında ya da döllenmeden sonraki hücre bölünmesi sırasında da meydana gelebilir. çünkü yüzlerce hatta binlerce geni etkileyen bir durumdur ve genellikle ölümcüldür. Bu kromozom bozuklukları anneden gelen yumurta ya da babadan gelen spermin birleşimi esnasında oluşabileceği gibi bu sperm ve yumurtanın oluşumu esnasında veya hemen döllenme.
Bebekte ense ödeminin farklı nedenleri olup kromozom kalp akciğer iskelet sistemi metabolik ve hematolojik hastalıklarda anne karnındaki mikrobik hastalıklarda görülebilmektedir.











































































/sex-chromosomes-574713dc3df78c6bb07e6cbd.jpg)


















