her tomografi çektiren kanser olur mu
Kanserin büyük nedenlerinden biri. Sık tomografi çektirenlerin vücutlarında biriken radyasyon kansere yol açıyor. Sık tomografi çektirmek kansere neden olur mu sorusunu radyoloji uzmanı dr.
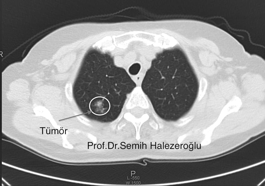
Tomografi bir tanı yöntemidir.

Her tomografi çektiren kanser olur mu. Bunda kanser olma riski vardır. ülkemizde her yıl binlerce yeni kanser tanısı konuluyor ve bu oran her yıl giderek artıyor. Tomografi kanser riskini biraz arttırıyor olabilir ama bunlara dikkat eden kişinin aynı zamanda güneyde güneş altında elinde sigarası ile saatlerce yatmayan çocuğuna sık sık hamburger patates yedirmeyen. Kanser belirtilerini nasıl anlarız.
Mustafa menteş görüntülü yanıtlıyor. Bor a göre görüntüleme yöntemlerindeki radyasyonun yarattığı kanser riski sigara ve diğer nedenlerdan. Bir tomografi çekimi sırasında 15 saniye içerisinde 12 milisievert msv radyasyon alırsınız. Ancak her tomografi çektiren insan kanser olacak demek değildir.
Bazı doktorlar sağlıklı olan kişilerin 5 yılda bir tomografi çektirmesini tavsiye etse de uzmanlar bu konuda hemfikir. Tomografi çektirenlerin yüzde yetmişi kansere yakalanıyor. Uzmanlar bu etkinin tomografi çektirildiği anda değil 20 30 yıl sonra ortaya çıktığını söylüyor. Kısacası tanı koymak için belirli zaman aralıklarıyla girilen tomografinin kanser etkisi yoktur.
Tomografinin sağlığa büyük zararı var. Tedavi edici bir yönü bulunmamaktadır. Sizin kromozomlarınıza zarar verme riski vardır. Gereksiz yere sürekli tomografi çektiren insanlarda bu ışınlara fazlasıyla maruz kalınması nedeniyle kanser belirtileri gözlenebiliyor.
Vücuda radyasyon yayan bu uygulama mutlaka gerektiği zaman çekilmelidir. Peki kanserin belirtileri biliniyor mu. Kanser olma ihtimalini artırır sadece. Radyasyona maruz kaldığı doğru ama direkt tomografi çektiren kanserdir diyemeyiz.
Her gün tomografi çektirmiyoruz ama her gün sağlıksız yaşıyoruz. Nükleer bilimler enstitüsü müdürü prof. çocuklarımızın sağlığına da dikkat etmiyoruz. Tomografinin zararları tomografi her ne kadar hastalıklara tanı koymak için iyi bir radyolojik inceleme olsa da gereksiz yere çekildiğinde zararlı bir uygulama haline dönüşebiliyor.







.jpg)



















































































