dişte beyaz leke neden olur
Solunum sistemi hastalıkları olduğuna işaret eder. Dişte beyaz leke nedenleri şunlardır. Dişlerde leke oluşumu genellikle tek bir sebebe bağlı değildir.
Dişteki beyaz lekeler özellikle kişide kalsiyum eksikliği olmasından dolayı ortaya çıkar.

Dişte beyaz leke neden olur. Dişte beyaz lekeler genellikle birden fazla nedenin birlikteliği sonucunda oluşur. çürüğün ilk aşamasında görülen beyaz lekeler hem süt dişlerinde hem de daimi dişlerde görülebilir. özellikle şekerli ve asitli besinler tüketildikten sonra leke oluşunu engelleyebilmek için dişler düzenli olarak diş yapısına uygun. Vitamin eksikliği ile ilişkili değildir.
Dişlerde kahverengi leke neden olur. Ortadaki beyaz plak ise kalp. Multifaktöriyel bir biçimde dişler bazen edinilmiş yanlış alışkanlıklar gıdalar ve veya bazı hastalıklar sonucunda temizleyerek uzaklaştırılabilen geçici veya kalıcı biçimde lekelenebilirler. Akciğerlerdeki sorun dilin kenarları boyunca beyazlığın oluşmasına neden olur.
Dişteki beyaz lekeler nasıl geçer konusuna değinmeden evvel ilgili problemin neyden dolayı ortaya çıktığına değinmek istiyoruz. Lekeler genellikle dişin zayıf olduğu yerlerde oluşuyor. Dişteki beyaz lekeler neden ortaya çıkar. Ve bu sorun dişlerin bozulmasına yol açabilir.
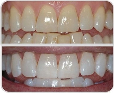
Dişte beyaz leke insanlarda son derece problem haline gelen sağlık açısından herhangi bir problem teşkil etmese bile estetik açısından oldukça olumsuz durumlara neden olan bir sorundur günümüzde her yüz kişiden beşinde görülen bu durum kimi insanlar tarafından çok fazla önemsenmese de diş bakımına ve diş güzelliğine önem veren insanlarda çok büyük bir. Genetik olarak veya yapısal olarak meydana gelmeyen ve sonradan oluşan diş lekelerinin kesin nedenlerinden biri de yanlış beslenme alışkanlılarıdır. Diş hekiminiz altta yatan nedenlerin tespitini yaparak dişteki beyazlamayı tedavi etmenin en iyi yolunu belirleyecektir. Bazı diş hekimleri diş çürümesinin ilk belirtisinin bu beyaz nokta lezyonları olduğunu söylemektedirler.
çok asitli yiyecekler diş renginin değişmesine neden olan kiraz ve böğürtlen gibi yiyecekler aşırı derece çay ve kahve tüketimi dişlerde lekelenme oluşmasına neden olacaktır. Dilin önü ve ucu. Bu lekeler çürüğün ilk aşamasında tebeşirimsi beyaz bir yüzey şeklinde olabildiği gibi süt ve daimi diş sert dokularında meydana yapısal bozukluklardan da kaynaklanabilir. Minenin şeker ve plak tarafından saldırıya uğradığı yerlerde ortaya çıkıyor.
Dişte görünen beyaz lekeler genellikle kalsiyumsuz ya da kalsiyumdan yoksun olan alanlardır. Aniden oluşan cilt lekelerinin sebebi vücudumuzda normal cilt renginden daha belirgin olarak ortaya çıkan lekeler yaşamımızı olumsuz etkilerken özellikle gençlerde psikolojik.





























































































