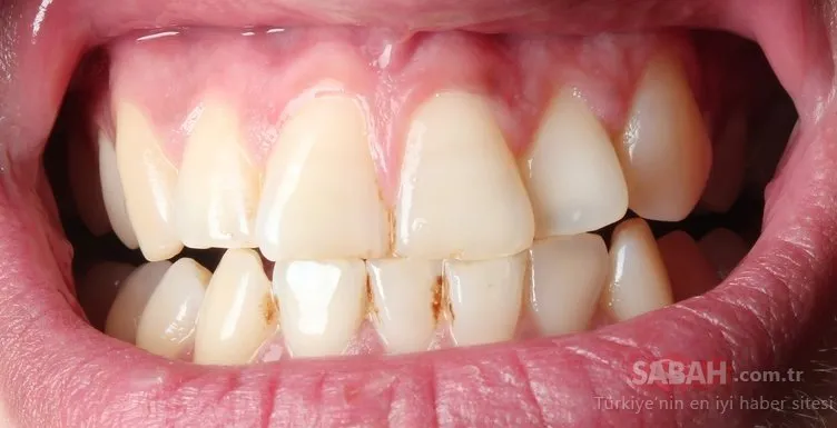
diş tartarı neden olur
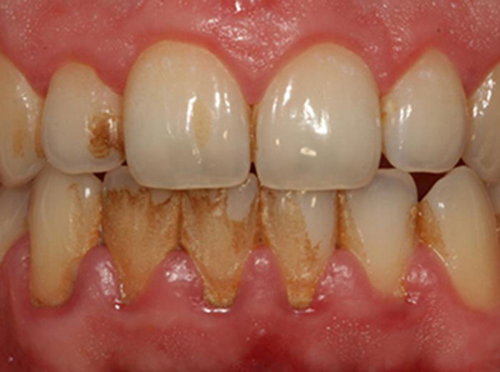
Düzenli diş ipi kullanımı. Diş taşı diş eti çizgisinin altında görülmeye başladığında kanamaya neden olabilecek kabarık şişliklere neden olabilir. Bunun sonucunda diş etlerini tahriş eder iltihaplanmaya kanamaya ve sonunda diş eti hastalıklarına neden olur.
Tükürüğün içerisinde bulunan kalsiyum tuzları dişlere yapışarak birikir ve bu.

Diş tartarı neden olur. Tüketilen gıdalar ve dişlerin düzenli olarak fırçalanmaması dişlerin yüzeyinde tartara neden olmaktadır. Diş tartarının yaygın olarak görüldüğü bölümlerden biri alt çenedir. Diş ipinden sonra gargara yapmak ta tartar oluşumunu önler ve iyi bir ağzı hijyeni korumuya yardımcı olur. özellikle yemeklerden sonra temizlenmeyen dişlerin etrafında kalan yemek parçları ve ağız içi bakterileri dişlerde tartar oluşumuna neden olur.
Tükürüğün içerisinde yer bulan kalsiyum tuzları diş tartarı oluşumunda önemli sayılabilecek bir yer oynar. Bu kalsiyum tuzları bir zaman sonra bakteri plağının da etkisi vesilesiyle dişe yapışarak tartar oluşabilmesine neden olur. Diş taşı tartar neden olur. 25 06 2020 07 40 güncelleme.






















































































