diş eti rahatsızlığı neden olur
Bu bakteriler zamanla diş çürüklerine diş eti iltihaplarına ve diş taşı oluşumlarına neden olurlar. Bunun yanı sıra aşağıdaki faktörler de diş eti sağlığınızı etkilemektedir. Bakteriler bu şekilde dişleri ve diş etini sardıkları gibi diş eti dokusuyla dişleri destekleyen kemiğe de enfekte olurlar.
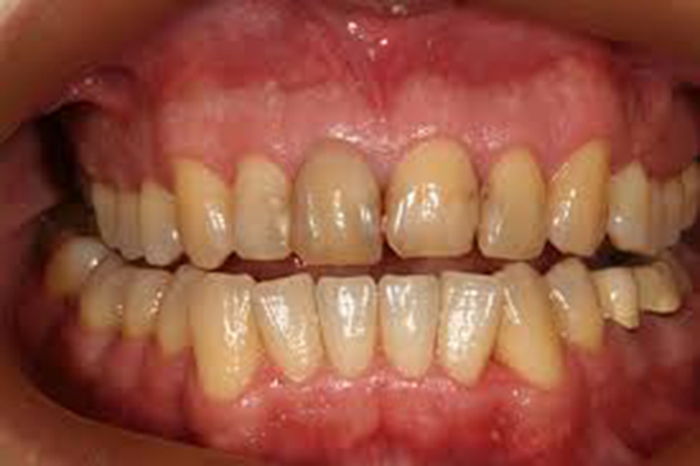
Tırnağınızla dişinizin üzerini kazıyarak plağı fark edebilirsiniz.
![]()
Diş eti rahatsızlığı neden olur. Diş eti hastalığının temel nedeni bakteri plağı denen dişe sıkıca tutunan yapışkan saydam bir tabakadır. Dişlerin düzenli olarak fırçalanmaması ve diş ipi kullanımının olmaması halinde dişlerde plak birikimi kaçınılmaz olur. Diş etinde meydana gelen kanamalar diş eti rahatsızlığının habercisi olabilir. Diş eti rahatsızlığı neden olur diye sorulacak olur ise bir diğer yanıt da stres olur.
şayet zamanında tedavi edilmez ise şiddetli diş iltihabına veya daha kötü hastalıklara neden olabilir. Gingivitis tedavi ve doğru ağız bakımı ile tam olarak tedavi edilebilir. Bakteri plağı ve diş taşı tartar birikimleri sonucunda diş etlerinde ve dişleri çene içerisinde tutan kemikte iltihapsal bir alan oluşmakta ve diş eti kanaması ortaya çıkmaktadır. Bu süreç sonunda dişlerde sallanma ve düşme gibi etkiler görülür.
Bu dönemde ağrı ya hiç yoktur ya da çok azdır. Diş eti hastalıkları diş etlerinin iltihaplanmasıyla meydana gelir. Diş eti hastalıklarının ağızda sürekli kötü koku diş etlerinde kızarma şişme kanama diş eti çekilmesi ve diş gevşemesi diş kaybı gibi belirtileri vardır. Diş ve diş eti problemleri neden olur.
Stres yüzünden diş sıkma ve diş gıcırdatma gibi olaylar da yaşanabilir ve diş etleri zarar görebilir. İnsan bedeninin enfeksiyonlara karşı savunmasını kıran en büyük etkenlerden birisi de strestir. Yapışkan renksiz bir tabaka olan ve sürekli olarak dişlerin üzerinde oluşan bakteri plağının içindeki bakteriler diş eti hastalığına neden olabilir. Diş eti kanadığında ne yapılmalıdır.
Bu olduğunda bakteri plağı diş taşları üzerinde de oluşmaya devam eder. 8 dünyadaki bilim insanları da kovid 19 virüsünün diş eti ve çene kemiğindeki damarlara zarar verebileceğini ve bu organların sağlığını bozabileceğini düşünüyor yorumunda bulundu. Bu etki çene kemiklerini ve diş etlerini bozarak diş kaybına neden olabilir. Genellikle ağız temizliğine dikkat etmemek dişleri düzenli fırçalamamak gibi nedenlerden dolayı bakteri plağının içindeki bakterilerin diş etlerine yerleşip iltihaba yol açmasıyla bu hastalık ortaya çıkar.
Plağın bir miligramında 200 ile 500 milyon arasında bakteri bulunur. Düzenli olarak fırçalanmayan ve bakımı yapılmayan dişlerde kalan yemek kalıntıları bakteri oluşumuna neden olur.





























































































