diş eti beyazlaması neden olur
Diş sıkmak veya gıcırdatmak. Bu durum yeterli ya da sağlıklı beslenmemenizden kaynaklanabilir. Etkili bir fırçalama işlemi yapılmaması diş ipinin kullanılmaması ve ara yüz temizliğinin uygulanmamasına bağlı olarak.
Küçük veya çok sıkı diş protezleri diş etine baskı yapan dolgu köprü ve kronlar diş eti kanamasının nedenleri arasındadır.

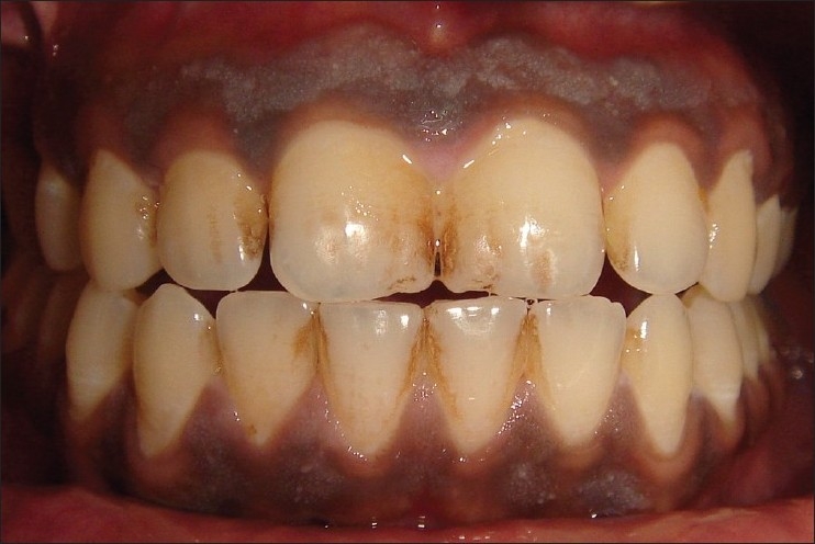
Diş eti beyazlaması neden olur. Diş eti şişliğinin temel nedeni diş eti iltihabıdır. Aşağıdaki besinleri günlük beslenme düzeniniz içinde dahil ederek hem sağlıklı kalabilir hem de diş eti kanamasını önleyebilirsiniz. Eğer dişlerinizi iyi fırçalamıyor ve diş ipi ile temizlemiyorsanız sorun burada. C ve k vitaminlerinin eksiklikleri diş eti kanamasına neden olabilir.
Diş eti beyazlaması neden olur. Dişi bir yaka gibi saran diş etleri dişle birleşince bıçak gibi sonlanır. Diş etinde beyazlığa şişlik de eşlik edebilir. Diş etlerindeki çekilmenin bir sebebi de diş sıkmaktır.
Tırnağınızla dişinizin üzerini kazıyarak plağı fark edebilirsiniz. Gingivitis diş eti iltihabı. örneğin yetersiz ağız bakımı geniş ve diş etine doğru ilerlemiş bir çürük sert diş fırçalama kalem ısırma tırnak yeme gibi bazı zararlı alışkanlıklar diş eti kanamalarına neden olabilir. Bazen çocuklarda diş eti kanamalarının çok basit nedenleri olabilir.
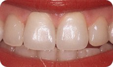
Diş bakımınızla ilgisi olmayan kanamalarla karşılaşırsanız doktorunuzdan vitamin c ve k vitamini seviyenizi kontrol etmesini isteyin. Dişle diş eti arasında 1 1 5 cm lik bir diş oluğu bulunur. Bebeklerde diş etinde beyazlık genellikle bebeğin diş çıkarması döneminde görülür bebeğin diş eti beyazlığı bebeğin diş çıkaracağına işaret eder. Sağlıklı diş eti soluk pembe renkte mat ve sıkıdır.
Diş eti kanaması nedir. özellikle c vitamini eksikliği diş eti iltihaplanmasına neden olabilir dolayısıyla meyve ve sebze tüketmiyorsanız sorun beslenme biçiminizde olabilir. Plağın bir miligramında 200 ile 500 milyon arasında bakteri bulunur. Diş eti beyazlığı kansızlıktan b12 eksikliğine diş eti iltihabına kadar çeşitli nedenlerden kaynaklanabilir.
Diş eti sivilceleri diş eti dokusunda ya da çene kemiğinde abse oluşumuna bağlı olarak oluşan çoğunlukla beyaz kabarcıklar ya da renksiz kırmızı renkli ya da beyaz renkli şişlikler olarak kendini gösteren aknemsi oluşumlardır. Diş eti hastalığının temel nedeni bakteri plağı denen dişe sıkıca tutunan yapışkan saydam bir tabakadır. Aft adı verilen ağız içi ve dil yaralarından farklı bir görüntüye ve altta yatan sebeplere bağlı olarak diş etleri üstünde çıkan. Diş eti kanaması dişlerin fırçalanması sırasında meydana geleceği gibi sert yiyeceklerin tüketimi sırasında da meydana gelmektedir.
Diş eti kanaması hangi vitamin eksikliğinden olur. Bunun yanı sıra aşağıdaki faktörler de diş eti sağlığınızı etkilemektedir.




























































































