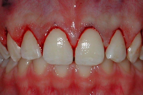
diş eti çekilmesi neden olur ibrahim saraçoğlu
Yaban kekiğinin içerisinde limonen diye bir etkin madde vardır. Bel inceltme kürü ibrahim saraçoğlu mucize iksirler. Diş eti bir kemik üzerinde bulunur.
Diş eti çekilmesi ve kanaması neden olur.

Diş eti çekilmesi neden olur ibrahim saraçoğlu. Fakat etkili olan tek başına limonen etkili değildir. Zaman içinde yukarıda saydığımız sebeplerden dolayı diş etlerinin erimesine ve yapının incelmesine neden olan bakteriler diş eti çekilmesine neden olur. İbrahim saraçoğlu diş eti çekilmesine ne iyi gelir diş eti çekilmesi bitkisel tedavisi diş eti çekilmesine bitkisel doğal kesin çözüm diş eti çekilmesi için kür diş eti. Fayda tv 194 210 views.
Diş eti ağrısı nasıl geçer. Bu kemik ve et sayesinde dişler sabit durur. İbrahim saraçoğlu diş eti çekilmesi bitkisel tedavisi için dişleri dağ kekiği çayı ile fırçalamayı tavsiye etmektedir. Diğer etkin maddelerle birleştiğinde etkili olur.
Diş eti çekilmesi kürü i̇brahim saraçoğlu izleyin i̇brahim saraçoğlu dailymotion da. İbrahim saraçoğlu duration. Ahmet ertüz sizin için cevaplıyor.



























































































