diş enfeksiyonu neden olur
Vücudun virüslerin saldırılarına karşı. Bakteriyel plak dental plak diş kiri plak bakteriyel plak veya diş kiri yemeklerden sonra özellikle diş eti. şiddetli soğuk ve sonrası burun akıntısı da küçük dil iltihabını tetikleyebilir.
Bu iltihap ölü doku akyuvar ve bakterilerden oluşan kötü kokulu bir sıvıdır.

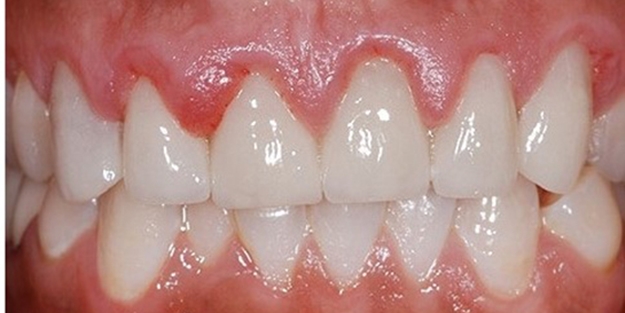
Diş enfeksiyonu neden olur. Diş apsesi çoğunlukla diş kökünde veya çevresinde gelişen bir enfeksiyon sonucunda kök kanalındaki yumuşak pulpa diş özü dokusu iltihaplandığında ya da öldüğünde oluşur. Bu mikroorganizmalar her zaman zarar vermez vücuda yararlı olanlar da vardır. Bazen ağız boşluğundaki dişeti enfeksiyonu küçük dile de yayılıp küçük dil iltihabına da neden olabilir. Diş eti enfeksiyonu.
Diş iltihabı bitkisel tedavi yöntemleri oldukça çeşitlidir. Dişinizde bir enfeksiyon meydana geldiğinde bakterilerin aşırı çoğalmasının bir sonucu olarak ağızda irin oluşur. Diş eti iltihabı günümüzde toplumun 90 ında görülebilen öncelikle diş etlerinde kanama kızarıklık ve hafif şişlikler ödem şeklinde belirti veren ancak genellikle bir ağrı oluşturmadığı için ihmal edilebilen enfeksiyonel bir hastalıktır. İdrar yolu enfeksiyonu neden olur.
Enfeksiyonlara maruz kalan diş ve çevre dokular şişer ve ağrılara neden olur. Kaynamış suya iki yemek kaşığı adaçayı ekleyin ve yaklaşık 5 10 dakika demlenmeye bırakın. Bir diş enfeksiyonu veya apseli diş genellikle diş çürümesi ve kötü ağız hijyeni sonucunda oluşur bununla birlikte daha önce yapılmış bir diş operasyonu veya travmatik yaralanma nedeniyle de gelişebilir. Bahsedilen hastalık yapıcı mikroorganizmaların kişiye hasar vermesi şarttır.
Diş eti enfeksiyonu bağışıklık kaynaklarını boşaltıyor. Bu duruma yol açan başlıca nedenler ise şunlardır. Diş apsesi neden olur. Belirtileri ve yarattığı sonuçları düşünüldüğünde diş kökü iltihabı en erken zamanda tedavi edilmelidir.
Kırık yontulmuş veya başka yollarla yaralanan diş. Yetersiz sıvı alımı da küçük dil iltihabına neden olabilir. Bu noktada doktorun ilk müdahalesi enfeksiyonu durdurmak adına antibiyotik tedavisi uygulamaktır. Diş kökü iltihabı dikkate alınmayacak ya da ertelenecek bir sağlık problemi değildir.
Adaçayı da diş eti şişliğini azaltmaya yardımcı olan ve aynı zamanda enfeksiyonu tedavi eden anti bakteriyel özelliklere sahip bir bitkidir. Kanda enfeksiyon neden olur kanda enfeksiyon olmasının anlamı vücudumuza giren küçük mikroorganizmaların bakteri virüs mantar vücudumuzda çoğaldığı ve hastalık yapıcı ortamın olduğu anlamını taşımaktadır. Diş enfeksiyonu irinli bir iltihap birikintisi demektir.
































































































