diş çürümesi neden olur
Boyutları ilerledikçe ve çürük büyüdükçe şekerin yanı sıra sıcak ve soğuk gıdalara karşı duyarlılığa neden olur. Dişlerin çürümesine neden olan en büyük etken diş bakımının günlük olarak yapılmaması ve hastanın belli aralıklarla diş hekimi kontrollerini gerçekleştirmemesidir. Diş çürümesi neden olur.
Diş çürümesi nedenleri hakkında günümüz de bir çok insan araştırmalar yapmaktadır.
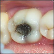
Diş çürümesi neden olur. Diş çürüğü dişin sert dokusu olarak kabul edilen mine onun altında bulunan dentin ve bazen kök yüzeyini örten sert dokunun yıkılması olarak da ifade edilebilir. Diş çürüğü çoğunlukla dişin sert dokusu olan mine onun altındaki dentin ve kimi zamanda kök yüzeyini örten sert dokunun yıkılması olayıdır. Aniden başlayan diş ağrısı sıcak ve soğuk yiyecek ve içecek tüketiminde oluşan diş hassasiyeti dişlerde meydana gelen delik ve çürük görünümler diş yüzeyinde beliren rengi kahverengi siyah ya da beyaz olabilen renk değişiklikleri yemek yerken ısırma ve çiğneme esnasında oluşan ağrı ağızda koku dişlerin çürüdüğünü gösteren önemli belirtiler arasındadır. Hakkında tüm merak ettiklerinizi yazımızın devamına giderek ulaşabilirsiniz.
Yazımızın başında bahsettiğimiz gibi asitler dişin diş minesi adı verilen yüzey tabakasını yıprattığında dişimiz çürür. özellikle yapışkan gıdaların diş yüzeyinde uzun süre kalmasıyla oluşmaktadır. Genellikle karbonhidratlı yiyeceklerin şeker nişasta vb kola ve benzeri şekerli gazlı içecekler kek çikolata vb. Diş çürümesi neden olur.

































































































