beyin kanamasında ne olur
Beyin kanaması kaç saatte belli olur sorusunun cevabı hayati önem taşımaktadır. Beyin kanamasını her zaman önceden anlamak mümkün değildir. Beyi̇n kanamasi beli̇rti̇leri̇ bir beyin kanaması çeşitli farklı semptomlara neden olabilir.
Genellikle tek taraflı yüz felci.

Beyin kanamasında ne olur. Kaza ya da şiddet nedeniyle oluşan travmatik beyin kanamalarında beynin tüm bölgesi etkilenir. Bu semptomlar yüz kol veya bacakta ani karıncalanma halsizlik hissizlik veya felç içerebilir. Beynin kanamadan etkilenen bölgesine göre konuşmada bozukluk kol ve bacakta kasılmalar bilinç kaybı sağ ya da sol tarafta uyuşma veya kuvvet kaybı ya da felç olabilir. Ancak beyin kanamasında devam eden günlük davranışların hislerinde azalma meydana gelir.
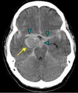
Bu yazımızda beyin kanaması öncesindeki belirtilerin neler olduğunu beyin kanamasının. Beyin kanaması tam teşhisi için bilgisayarlı beyin tomografisi çekilir kan olgusuna oldukça hassas olan bu yöntem kanın nerede toplandığını tespit etmekte yardımcı olur. Travma dışı nedenlerle oluşan beyin kanamaları kanamanın şiddetine bağlı olarak baş ve veya ense ağrısından ani bilinç kaybına kadar çeşitli. Kanamanın beyin kabuğu ile beyin dokuları arasında oluşanına ise subaraknoid beyin kanaması ismi verilir.
Beyin kanaması geçiren hastaların bir tarafları felç olur. Beyin kanaması geçiren kişilerin ayak ve el tutulan tarafta tamamen veya kısmen felç olur. Bacaklarda karıncalanma ve uyuşukluk hissi. Beyin kanamasının sonucu ölümcül olmakla beraber kalıcı hasarlarda bırakabilmektedir.
Beyin kanamasının etkileri nelerdir. Tanı erken konulup hemen müdahale edilmez ise sonuçlar ağır olacaktır. Hatırlatmakta fayda var ki beyin kanaması meydana geldiğinde baş ağrısı oluşmayabilir. Beyin kanaması kaç saatte belli olur.
Spontan beyin kanamaları ise genel olarak beyin ile beyin zarı arasında ya da beyin içinde meydana gelir. Beyin kanaması sonrası hayatınıza normal olarak devam etmeniz biraz güç olacaktır.



























































































