böbrekte kitle neden olur
Kişinin aşırı yorgunluk halsizlik ateş yükselmesi kilo kaybı idrarda kan görünmesi ve böbrekteki kitlenin bel veya karın bölgesinde belirginleşmesi hastalığın nedenleri arasında yer alır. Böbrekte aksaklık olduğu zaman vücut dengesini kaybeder. Kana giren enfeksiyon sağ böbrekte kist oluşturur.
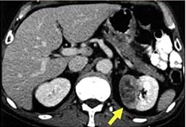
Böbrekte kitle neden olur.

Böbrekte kitle neden olur. İdrarın üretildiği ve depolandığı yerde idrar birikir ve şişerek böbreğe basınç yapmaya başlar. Böbrekte oluşan kitle iyi huylu ve kötü huylu olarak görülür. Patlayan bir böbrek kisti sırtta ve yan bölgelerde şiddetli ağrıya neden olur. Böyle olduğu zaman idrar böbrekte birikir ve böbrek büyümesi meydana gelir.
Böbrekte kitle oluşması yara tümör oluşmasına neden olur. Böbrek yetmezliği gibi belirtilere sebep olur. Gün geçtikçe yara oluşmaya başlar. Pankreas sinir sistemi beyin ve karaciğerde etkilenmektedir.
Böbrek kistleri komplikasyonları şunlardır. Buradaki kanal tıkandığı zaman böbrek büyümesi ortaya çıkar. Böbrek kumu dökme fosfat oksalat ve sistin kristallerinin idrar. Böbrekte kitle nedir böbreklerin görevlerini yapmalarını engelleyen bazı sağlık problemleri bulunmaktadır bu problemlerden biri de böbrekte oluşan kistler nedeni ile böbreklerde kitle oluşması sorunudur.
Böbrek yetmezliğine kanamalara böbrek taşına böbrek iltihabına ve yüksek tansiyona sebep olur. Bu kisttin var olduğu hastalarda böbrek rahatsızlığından kaynaklı olarak yüksek tansiyon sorunu ortaya çıkar. Bazı durumlarda ultrason yeterli kalmaz daha şüpheli durumlarda tomografi yada mr yöntemlerine başvurulur. Böbreklerde kitle oluşumu genel olarak doğuştan meydana gelmektedir.
Olumsuz sonuçlar ortaya çıkar ve sağlık sorunu oluşur. Kitle tıpta istenmeyen hücrelerin bir araya gelerek oluşturdukları yapıya verilen isimdir. Zararlı olan kistlerin tanısının uzman tarafından koyulması ve tedavisinin en doğru şekilde yapılması şarttır. Böbrekte kitle lezyonu tanısı.
Bir böbrek kisti enfekte olabilir ateş ve ağrıya yol açabilir. Normal idrar akışını engelleyen bir böbrek kisti böbreğin şişmesine hidronefroz yol açabilir. Hastalığın genel anlamdaki en büyük sebebi genetik yapı bozukluklarıdır. Böbrek taşının yanı sıra böbrek kumu da insan hayatını olumsuz etkileyen ağrı ve sancıya neden olan bir böbrek hastalığıdır.
Genetik yani ailesel olan böbrek kist çeşitlerinin ciddi düzeyde zararları bulunur.






























































































