böbrek tümörü neden olur
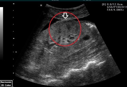
Böbrek tümörü en basit tabirle sağlıklı böbrek içindeki hücrelerin kontrolsüz olarak büyümesidir. Bunlar iyi huylu benign veya kötü huylu malign olarak değerlendirilir. Uzun süren kan basıncı yüksekliği kronik böbrek yetmezliği hastalığı genetik yatkınlık doğuştan gelen at nalı böbrek polikistik böbrek hastalıkları ve sistemik bir hastalık olan von hippel lindau sendromu.
Lenf damarları yoluyla çevre lenf nodlarına yayılabilirler.

Böbrek tümörü neden olur. Böbrek tümörü hücreleri böbrekte oluşan kanserli dokudan ayrılarak yayılım gösterebilirler. Böbrek tümörleri tedavisi böbrek tümörleri böbreğin her iki kısmında da oluşur ise bu durumun en fazla görüleni parankim etli kısmın tümörleridir. Böbrek fonksiyonlarında bozukluklara yol açan vücudun aşırı yağlanması böbrek kanserine yakalanma riskini artırır. Semptomlar ayrıca vücudun organlarına baskı yapan büyük tümörlerden de kaynaklanabilir.
Check up lar sayesinde kanserin tekrar edip etmediği belirlenecek genel sağlık durumunda herhangi bir değişiklik olursa erken fark edilmesi sağlanacaktır. Böbrek üstü bezi tümörü belirtileri nelerdir. Renal hücreli tümör böbreğin en fazla rastlanan kötü huylu tümörü olup bütün yetişkin kanserleri içinde oranı. Böbrek içindeki hücrelerin dengesiz bir şekilde fazlaca çoğalması ile oluşur.
Böbrekteki tümör eğer malign kötü huylu ise böbrek kanseri olarak adlandırıyoruz. Böbrekteki bu tümörlermalign kötü huylu veya selim iyi huylu olabilir. Adrenal kanser belirtilerine aşırı hormon üretimi neden olur.































































































