apseli diş çekilir mi çekilirse ne olur
İltihaplı olan diş öncelikli olarak iltihap kurutucu antibiyotik ile iltihap kurutulur. Apse olan diş çekilir mi apse olan dişe ne iyi. Düzenli olarak yapılmayan ağız içi temizliği ve ağız bakımında ağızın karanlık ve nemli yapısı.
Apseli dişe uyuşturucu vurulduğunda dişin uyuşmayacağı da biliniyor.

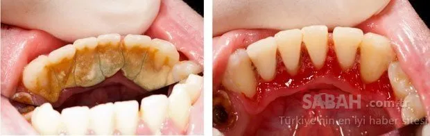
Apseli diş çekilir mi çekilirse ne olur. Bu durumda akıllara gelen soru apseli diş durumunda ne yapılması gerektiği oluyor. Ne olur ne olmaz eğer bir enfeksiyon gelişirse hastanın ne yapması gerektiğini izah ederek onu rahatlatmalıdır. Hocam bende de apseli diş vardı gittim çok ağrıyordu hap verdi kullan bunu 1 hafta sonra gel kurtarabilirsem çekmiyecem dedi sonra ben çıktım ağrı kesici felan aldım fayda etmiyor sonra çıktım akşamına gittim dedim çek dişi ben kurtulayım dedi öyle olmaz çekemem apse var çekersem ölüme kadar yolu var dayanacan ilacı kullandım ağrı geçti ama dişi çekti sende apse. Diş doktorları dahil bir çok kişi iltihaplı yada apseli dişin çekilmeyeceğini söylüyor.
İltihaplı bir diş çekilirse hekim bu durumu hastaya iyice anlatmalı ve onu maksimum düzeyde aydınlatmalıdır. şimdi sizlere bu konu ile ilgili daha derin detaylar verelim. şayet diş çekiminin acil olarak yapılması gerekiyorsa bu durumda diş hekimleri öncelikle apseyi temizler. Böylelikle apsenin inmesi sağlanır ve diş çekimi gerçekleştirilebilir.
Apseli olan dişler çekilir mi. Verelim ki kafanıza takılan bütün soruların cevabını almış olun ve içiniz rahatlasın. Babam iltihapli disini cektikten sonra bogazi ilthaplandi ve 3 yildir gecmiyo ne yapmaliyi. Apseli diş durumunda ne yapmak gerekiyor.
Yine apseli dişe kanal tedavisi de uygulanarak diş çekilmeden tedavi yapılmasının yolları aranır. Apseli dış çekilirse ne olur. Fakat sadece antibiyotikle değil iltihap oluşumuna neden olan durum neyse de ortadan kaldırılmaya çalışılır. İltihaplı diş çekilir mi çekilirse ne olur durumunun diğer cevabı eğer çürük dişi olan kişinin başka bir hastalığı varsa diş çekildiği zaman eğer enfeksiyon kontrol edilemezse çok düşük bir ihtimal de olsa ölümle sonuçlanabilir.
Ondan sonra dişinizin tedavisi. İltihaplı diş çekilir mi. Doğru yapılan müdahale ve karar sonucunda bu ciddi riskler asla yaşanmaz. Apseli diş çekilir mi sorusunun cevabı ise eğer hızla gelişen bir iltihap durumu varsa çekimden önce diş hekimi antibiyotik verir ve iltihap durumu ortadan kaldırılır.
Akut iltihaplı diş çekilmez ancak akut iltihap olmayan dişler çekilebilir sevgili arkadaşlar. Apseli diş çekilirse ne olur. Kullanması gereken ilaçaları dikkat etmesi gereken şeyleri anlatmalıdır. Bu yüzden devlet.
Apseli diş çekilir mi çekilirse ne olur. Eğer apse nedeni dişte bulunan bir çürük ise diş hekimi gerekli görürse tedavi amaçlı olarak apseli diş çekimi de dahil olmak üzere ileri tedavi yöntemlerini deneyecektir.



























































































